

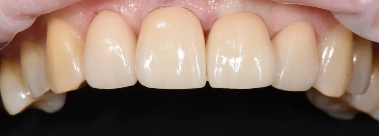
Корекція форми та кольору, відновлення симетрії.
Гармонізуємо форму, колір і прозорість зубів: від швидких композитних реставрацій до високоточних керамічних вінірів за цифровим протоколом.
Вініри — це сучасний та ефективний спосіб створити рівну, білу й естетичну усмішку без тривалого ортодонтичного лікування. Це тонкі накладки, які фіксуються на передню поверхню зубів і дозволяють скоригувати форму, колір та загальний вигляд зубів, зберігаючи природність усмішки.
Встановлення вінірів є оптимальним рішенням для пацієнтів, у яких спостерігається:
Вініри обирають тоді, коли не влаштовує зовнішній вигляд зубів, але немає бажання або потреби проходити тривале ортодонтичне чи комплексне лікування. Це швидкий та передбачуваний спосіб покращити естетику усмішки.
Вініри особливо добре підходять у таких випадках:
Процедура проходить поетапно — з прогнозованим результатом та контролем на кожному кроці.
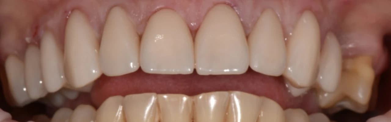
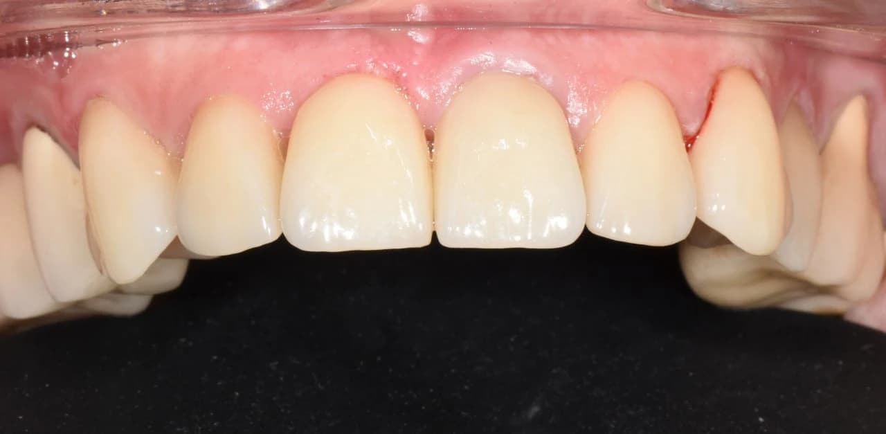
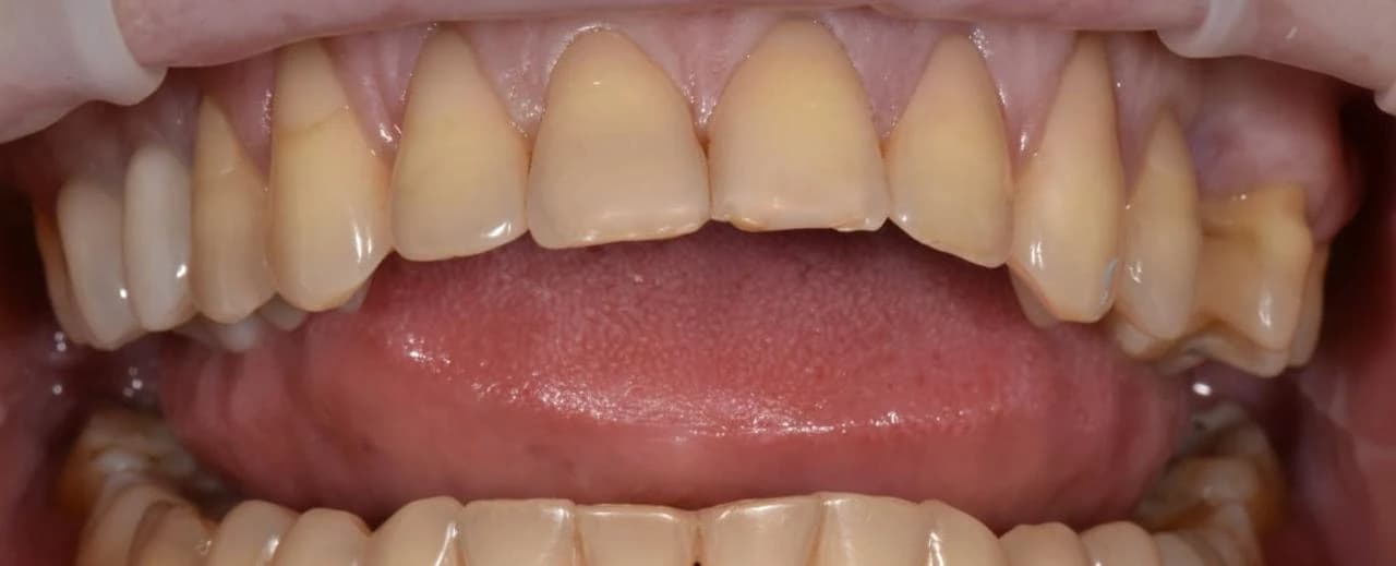
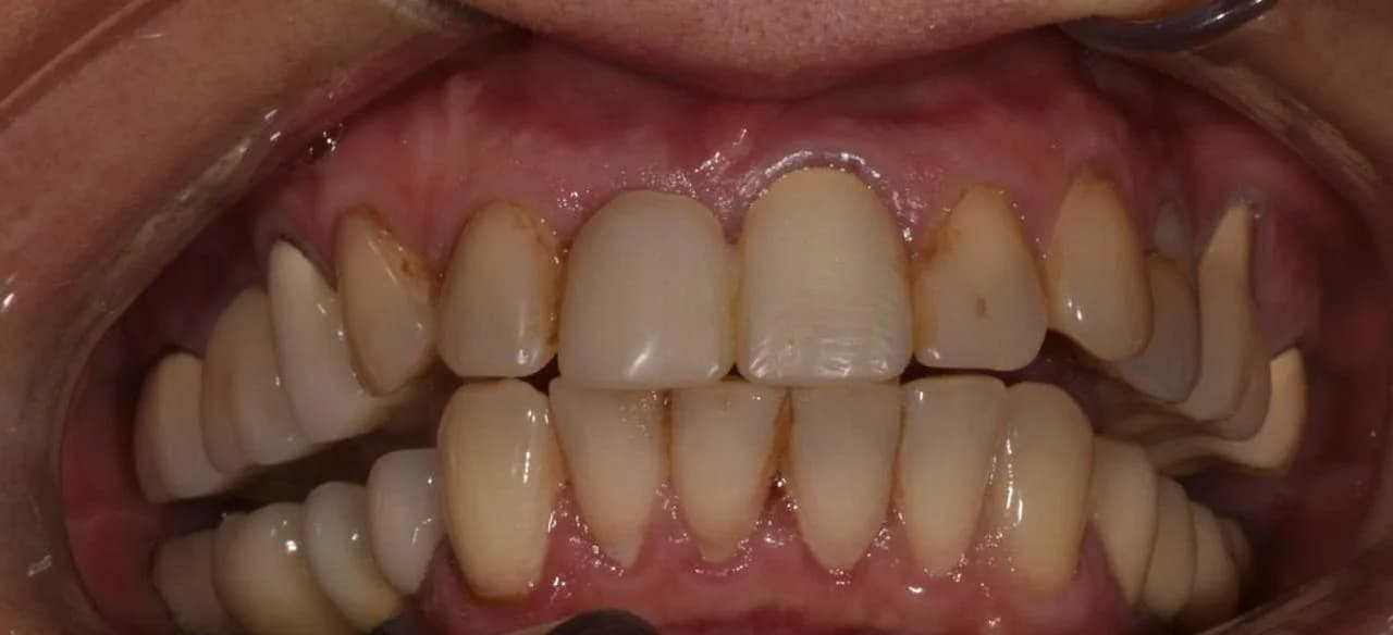
Реальні фото результатів встановлення вінірів у клініці MasterDent — без ретуші та фільтрів.


Корекція форми та кольору, відновлення симетрії.


Вирівнювання лінії усмішки та естетики емалі.


Природна білизна без ефекту «перебілу».
Стоматологи-ортопеди клініки MasterDent з досвідом естетичних реставрацій.
Реальні відгуки з Google про клініку та лікарів MasterDent.
Коли вініри зазвичай рекомендовані.
Починаємо з безпеки та прогнозованого результату.
У клініці MasterDent використовуються сучасні матеріали для виготовлення вінірів. Тип вінірів підбирається індивідуально після консультації, діагностики та оцінки стану зубів.
Остаточний вибір матеріалу та обсягу підготовки зубів визначає лікар-ортопед після огляду, цифрової діагностики та обговорення очікуваного результату.
Прості правила, щоб вініри виглядали ідеально довго.
Підбираємо лікування індивідуально. Попередні ціни — нижче; фінальну вартість підтвердить лікар на консультації.
| Встановлення вініру (Еліт) | 14 000 грн |
| Встановлення вініру (Стандарт) | 9 500 грн |
| Встановлення композитного вініру | 3 500 грн |