Одноетапна імплантація (за 1 день)
Видалення + імплант за один візит (за показами).
Видалення + імплант за один візит (за показами).
Стандартний і надійний протокол з остеоінтеграцією.
Повна щелепа на імплантах з негайною фіксацією протезу.
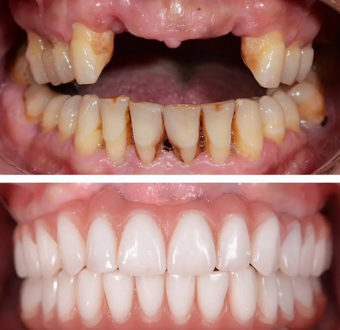
Естетичні та міцні коронки на абатментах.
Планування по КТ, делікатна хірургія та керамічні коронки на імплантах. Пояснюємо крок за кроком — етапи, терміни та прогноз результату.

Дайте кілька відповідей і ми покажемо чіткі наступні кроки.
Підбираємо систему під вашу клінічну ситуацію (за КТ) і бюджет. Вибір — без тиску, з аргументами.
Висновок робимо після огляду та КТ — щоб підібрати безпечний протокол саме для вас.
Тривалість лікування залежить від клінічної ситуації та обраного протоколу.
Тимчасову коронку часто можна встановити одразу після імплантації, щоб ви не залишались без зуба. Постійну керамічну коронку фіксуємо після повного приживлення імпланта — зазвичай через 2–6 місяців. Точний протокол визначає лікар після аналізу КТ.
Ми працюємо з перевіреними системами імплантів і дотримуємося клінічних протоколів — тому можемо надавати гарантії на лікування.
Виробники імплантів надають довічну гарантію на сам імплант. У разі заводського дефекту — заміна безкоштовно.
Включає контроль приживлення та післяопераційний супровід.
Коронки на імплантах — до 3 років. Ми встановлюємо виключно керамічні коронки (металокераміку на імплантах не використовуємо). Тимчасові конструкції — гарантія обмежена.
Дотримання рекомендацій лікаря, профогляди 1–2 рази на рік, професійна гігієна, належний домашній догляд, контроль факторів ризику (куріння, бруксизм).
вул. Ревуцького, 24/4, Київ
Київ, Позняки. Можете одразу відкрити точку клініки в Google Maps.