
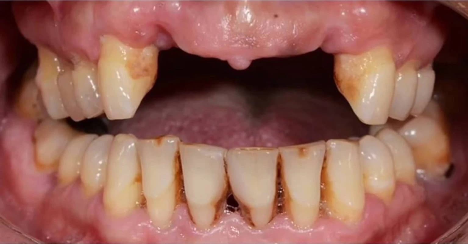
Стан пацієнта до початку лікування.
All-on-4 та All-on-6 — це сучасний метод відновлення всієї щелепи на 4 або 6 імплантах. Метод дозволяє повернути жувальну функцію, естетику та комфорт навіть при повній відсутності зубів.
All-on-4 / All-on-6 — це метод повного протезування однієї щелепи, при якому незнімний протез фіксується на 4 або 6 зубних імплантах. Імпланти замінюють корені втрачених зубів і беруть на себе жувальне навантаження, а протез відновлює форму, функцію та естетику всієї щелепи.
Детальніше про всі методи можна прочитати на сторінці імплантації зубів.
All-on-4 / All-on-6 підходить пацієнтам, яким необхідно відновити всі зуби на одній або обох щелепах за допомогою фіксованого протеза з чітко спланованими етапами та прогнозованими строками лікування.
Лікування проводиться поетапно з точним плануванням кожного кроку.
На консультації ви отримаєте індивідуальний план лікування та зрозумілі строки відновлення зубів
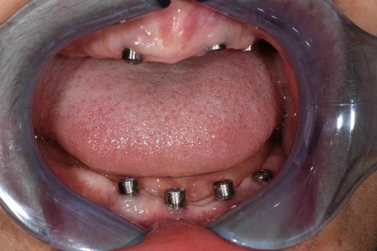
Реальні клінічні фото MasterDent, які показують ключові етапи імплантації All-on-4 / All-on-6.

Стан пацієнта до початку лікування.

Встановлення імплантів та фіксація абатментів.

Готовий протез перед фіксацією.

Незнімний протез у порожнині рота.
Хірург-імплантолог, який проводить імплантацію All-on-4 / All-on-6 у MasterDent
Реальні відгуки пацієнтів про імплантацію у MasterDent.
Вартість залежить від кількості імплантів, типу протезу та клінічної ситуації. Остаточна ціна визначається після консультації.
| Встановлення тимчасової коронки на імпланті | 3 650 грн |
| Встановлення керамічної коронки на циркон. основі на імпланті Dentis | 17 000 грн |
| Встановлення керамічної коронки на циркон. основі на імпланті Neodent | 21 000 грн |
| Встановлення керамічної коронки без металевої основи на імпланті (економ) Dentis | 13 500 грн |
| Встановлення коронки на циркон. основі на імпланті (еліт) Straumann | 25 000 грн |
| Постановка імедіат-протезу | 3 000 грн |
| Імплантація системи Dentis One Q | 18 000 грн |
| Імплантація системи Dentis SQ | 25 000 грн |
| Імплантація системи Neodent by Straumann | 25 000 грн |
| Імплантація системи Straumann Roxolid | 31 000 грн |
| Імплантація системи Straumann Roxolid Active | 37 000 грн |
| Встановлення ортодонтичних міні імплантів | 7 500 грн |
| Направлена кісткова пластика (з остеопластичним матеріалом) | 20 000 грн |
| Виготовлення шаблону на один імплант | 4 000 грн |
| Виготовлення шаблону на щелепу (2-3 імпланти) | 6 000 грн |
Стоматологічна клініка MasterDent розташована у Києві, Дарницький район, мікрорайон Позняки, за адресою: вул. Ревуцького, 24/4, приблизно за 10–15 хвилин пішки від метро «Позняки».
Адреса: вул. Ревуцького, 24/4, Київ, Україна
Поруч є зручне паркування та зупинки громадського транспорту.