

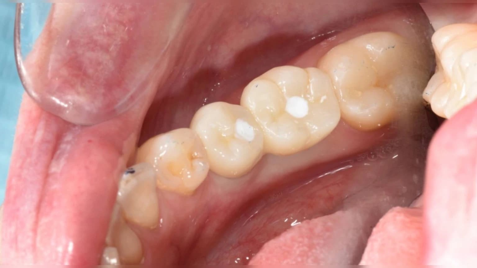
Встановлення імпланта та фінальне протезування коронкою.
Класична імплантація — це поетапне відновлення зуба з контрольованим приживленням імпланта та подальшим протезуванням. Такий підхід дозволяє досягти стабільного результату, природної естетики та повноцінної жувальної функції навіть у складних клінічних випадках.
Класична імплантація зубів — це поетапний метод відновлення одного або кількох втрачених зубів, при якому імплант встановлюється в кістку, проходить повну остеоінтеграцію, після чого фіксується постійна коронка. Метод вважається найбільш прогнозованим і застосовується у світовій стоматологічній практиці.
Класичний протокол застосовується тоді, коли важлива максимальна стабільність результату:
Детальніше про всі методи можна прочитати на сторінці імплантації зубів.
Класична імплантація підходить тим, хто хоче надійно відновити зуб без поспіху — з повним приживленням імпланта та прогнозованим результатом.
Найчастіше класичну імплантацію обирають у таких ситуаціях:
На консультації ви отримаєте індивідуальний план класичної імплантації зубів.
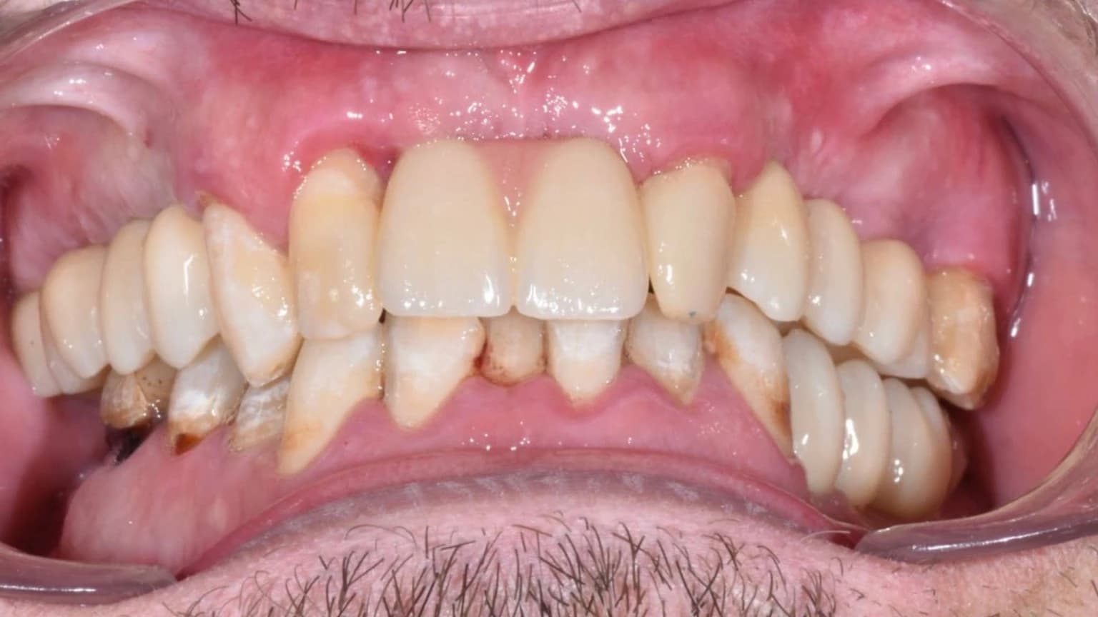
Реальні клінічні результати класичної імплантації зубів у пацієнтів MasterDent. Фото можуть містити медичні зображення.


Встановлення імпланта та фінальне протезування коронкою.


Імплантація після тривалої відсутності зуба з повним відновленням функції.


Результат лікування до та після класичної імплантації.
Лікар, який проводить класичну імплантацію зубів у 2–3 етапи
Реальні відгуки пацієнтів про класичну імплантацію у MasterDent.
Підбираємо лікування індивідуально. Попередні ціни — нижче; фінальну вартість підтвердить лікар на консультації.
| Встановлення тимчасової коронки на імпланті | 3 650 грн |
| Встановлення керамічної коронки на циркон. основі на імпланті Dentis | 17 000 грн |
| Встановлення керамічної коронки на циркон. основі на імпланті Neodent | 21 000 грн |
| Встановлення керамічної коронки без металевої основи на імпланті (економ) Dentis | 13 500 грн |
| Встановлення коронки на циркон. основі на імпланті (еліт) Straumann | 25 000 грн |
| Встановлення цирконієвого абатменту з титановою основою | 4 500 грн |
| Імплантація системи Dentis One Q | 18 000 грн |
| Імплантація системи Dentis SQ | 25 000 грн |
| Імплантація системи Neodent by Straumann | 25 000 грн |
| Імплантація системи Straumann Roxolid | 31 000 грн |
| Імплантація системи Straumann Roxolid Active | 37 000 грн |
| Встановлення ортодонтичних міні імплантів | 7 500 грн |
| Виготовлення шаблону на один імплант | 4 000 грн |
| Виготовлення шаблону на щелепу (2-3 імпланти) | 6 000 грн |
Стоматологічна клініка MasterDent розташована у Києві, Дарницький район, мікрорайон Позняки, за адресою: вул. Ревуцького, 24/4, приблизно за 10–15 хвилин пішки від метро «Позняки».
Адреса: вул. Ревуцького, 24/4, Київ, Україна
Поруч є зручне паркування та зупинки громадського транспорту.