

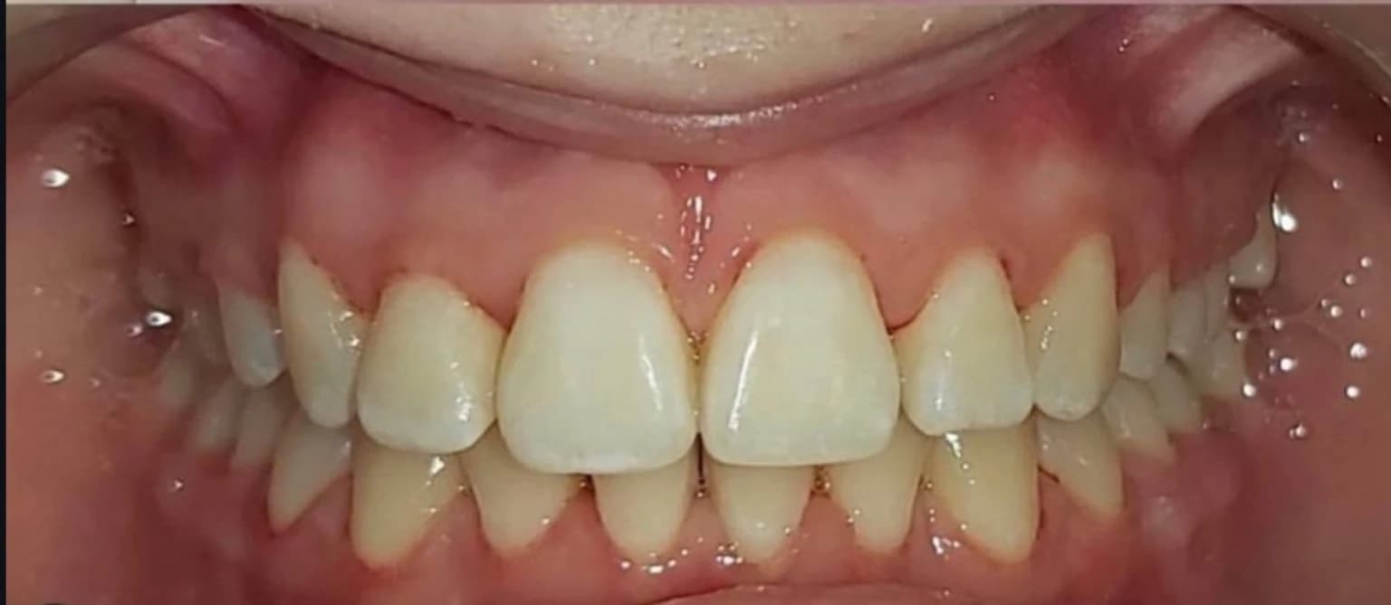
Було: скупченість зубів нижньої щелепи та порушення контактів. Після лікування отримали вирівняний зубний ряд і стабільні оклюзійні контакти.
Виправляємо прикус та вирівнюємо зубні ряди брекет-системами: металеві, керамічні, сапфірові, а також самолігуючі. Повний супровід від діагностики до ретенції.
Брекети — це фіксовані ортодонтичні конструкції, які поступово переміщують зуби у правильне положення та формують стабільний прикус. Лікування проводиться під контролем лікаря-ортодонта і планується індивідуально після діагностики.
Детальніше про всі методи вирівнювання зубів та лікування прикусу читайте на сторінці ортодонтії.
Брекети потрібні не лише для естетики. Найчастіше пацієнти навіть не помічають порушення прикусу, поки не з’являється перевантаження зубів, стирання емалі або складнощі з жуванням. Після огляду ортодонт визначає, чи потрібне лікування саме у вашому випадку.
Покроково пояснюємо, що саме відбувається з моменту першого візиту до завершення лікування.
Реальні клінічні кейси ортодонтичного лікування у MasterDent: вирівнювання зубних рядів, корекція прикусу та стабільний результат після завершення лікування.


Було: скупченість зубів нижньої щелепи та порушення контактів. Після лікування отримали вирівняний зубний ряд і стабільні оклюзійні контакти.


Було: зміщення та скупченість зубів верхньої і нижньої щелеп. Після лікування отримали симетричне вирівнювання і стабільний прикус.


Було: виражена скупченість зубів обох щелеп і порушення прикусу. Після ортодонтичного лікування отримали функціональний прикус і гармонійне вирівнювання.
Ортодонтичне лікування брекетами проводять досвідчені лікарі з повним клінічним супроводом — від діагностики до ретенції.
Реальні відгуки про ортодонтичне лікування у MasterDent.
Підбираємо лікування індивідуально. Попередні ціни — нижче; фінальну вартість підтвердить лікар на консультації.
| Заміна дуги | 800 грн |
| Корекція брекет-системи | 700 грн |
| Встановлення брекет-системи частково | 12 500 грн |
| Встановлення брекет-системи на одну щелепу (металева) | 23 000 грн |
| Встановлення брекет-системи на одну щелепу (кераміка) | 25 000 грн |
| Брекет система №4 лінгвальна (одна щелепа) | За запитом |
| Встановлення брекет-системи на одну щелепу (сапфірові) | 30 000 грн |
| Встановлення брекет-системи на одну щелепу керамічні (Damond) | 40 000 грн |
| Встановлення ретейнера шина (незнімного) | 4 500 грн |
| Встановлення обвивного ретейнеру | 4 500 грн |
| Лінгвальна дуга при втраті | 900 грн |
| Цементування одного брекета, замка, кільця, лінгвальної кнопки | 700 грн |
| Встановлення осами ретейнера | 6 500 грн |
| Зняття брекет-системи з однієї щелепи | 2 500 грн |
| Встановлення додаткового ортодонтичного елемента (пружина, ланцюжок) | 500 грн |
| Прозора ретенційна капа | 4 100 грн |
Стоматологічна клініка MasterDent розташована у Києві, Дарницький район, мікрорайон Позняки, за адресою: вул. Ревуцького, 24/4, приблизно за 10–15 хвилин пішки від метро «Позняки».
Адреса: вул. Ревуцького, 24/4, Київ, Україна
Поруч є зручне паркування та зупинки громадського транспорту.